

Écrivaine: Christine Li
Qu’est-ce qu’un pneumothorax?
Un pneumothorax se caractérise par la présence d’air autour ou à l’extérieur du poumon, dans l’espace pleural ou au niveau de la plèvre pariétale et viscérale à l’intérieur de la cage thoracique. L’air peut s’accumuler dans l’espace pleural et entraîner un affaissement partiel ou complet des poumons. Le pneumothorax est également appelé « poumon affaissé » ou « poumon perforé ».
Il existe deux types de pneumothorax : le pneumothorax spontané et le pneumothorax traumatique. Un pneumothorax traumatique est provoqué par une blessure, par exemple lorsqu’un objet pointu perce le poumon.
Aussi, il y a le pneumothorax spontané, qui survient lorsqu’un poumon s’affaisse sans qu’il y ait de blessure. On parle de pneumothorax spontané primaire lorsqu’aucun problème de santé ni aucune maladie ne semble avoir provoqué l’affaissement du poumon.
Les pneumothorax peuvent être classés en trois catégories: simple, sous tension ou ouverte. Le pneumothorax simple n’entraîne pas de déplacement des structures médiastinales. Le pneumothorax ouvert est également appelé « plaie thoracique à aspiration ». Cependant, certaines maladies pulmonaires peuvent entraîner un collapsus pulmonaire ou un pneumothorax spontané secondaire.
Signes et symptômes
Les signes et symptômes d’un pneumothorax sont les suivants :
- Expansion pulmonaire asymétrique
- Essoufflement (dyspnée)
- Manque d’oxygène et fatigue
- Douleur ou oppression thoracique
- Diminution du frémissement tactile
- Toux
- Accélération du rythme cardiaque (tachycardie)
- Respiration superficielle ou rapide (tachypnée)
- Son de percussion hyper résonnant
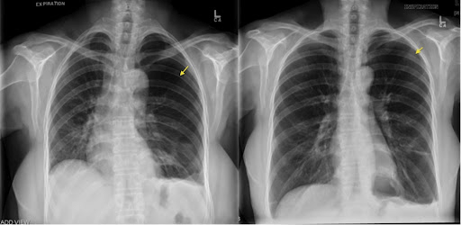
En cas de suspicion de pneumothorax, le médecin peut recourir à une radiographie thoracique ou à un scanner (tomodensitométrie) pour diagnostiquer le pneumothorax et obtenir des images détaillées des poumons.
Ils peuvent également mesurer votre saturation en oxygène et la concentration de dioxyde de carbone dans votre sang à l’aide d’une gazométrie artérielle. Votre médecin pourra également tenir compte de vos antécédents familiaux et médicaux, et procéder à un examen physique.
Quelles sont les causes d’un pneumothorax ?
De nombreux facteurs peuvent contribuer à l’apparition d’un pneumothorax, notamment le mode de vie, certaines pathologies et les blessures.
Parmi les facteurs liés au mode de vie, on peut citer le tabagisme, la consommation de drogues, le parachutisme, la grossesse et la plongée sous-marine. De plus, les hommes sont trois fois plus susceptibles de souffrir d’un pneumothorax que les femmes.
Le pneumothorax spontané primaire touche principalement les personnes âgées de 20 à 40 ans, en particulier celles qui sont très grandes et en sous-poids. Toute personne ayant déjà souffert d’un pneumothorax présente un risque accru d’en développer un autre, 30% à 50% des patients connaissant une récidive au cours de la première année.
Les affections médicales qui augmentent le risque de développer un pneumothorax comprennent : l’asthme, la bronchopneumopathie chronique obstructive (BPCO), le virus de l’immunodéficience humaine (VIH), la mucoviscidose, la coqueluche, l’endométriose, le syndrome de Marfan, l’histiocytose à cellules de Langerhans, la pneumonie, le cancer du poumon, l’emphysème, le syndrome de détresse respiratoire aiguë (SDRA), la fibrose pulmonaire, la sarcoïdose, la tuberculose (TB), le syndrome de Birt-Hogg-Dubé, les maladies du collagène, le carcinome bronchique et la lymphangioléiomyomatose (LAM) chez les femmes.
De nombreuses blessures présentent un risque important de pneumothorax, notamment les traumatismes contondants, les fractures des côtes, les blessures par balle et les blessures par arme blanche.
En quoi consiste le traitement d’un pneumothorax et quelles sont les complications possibles?
Les médecins peuvent pratiquer une thoracentèse en insérant une aiguille ou un tube entre les côtes et la partie du poumon affaissée afin de permettre à l’air de s’échapper de la cavité thoracique. S’il existe un risque de nouvel affaissement du poumon, une pleurodèse peut être réalisée à l’aide de produits chimiques tels que la doxycycline ou du talc afin de fixer le poumon à la paroi thoracique. De plus, une intervention chirurgicale peut s’avérer nécessaire pour réparer les lésions et permettre au poumon perforé de guérir. Si la plupart des patients se rétablissent en moins de deux semaines, certaines complications peuvent survenir, notamment une infection (septicémie), une insuffisance cardiaque, une insuffisance respiratoire ou un œdème pulmonaire.
Les ressources:
Luo, E. K. (2017, June 27). Pneumothorax (collapsed lung): Causes, symptoms, and treatment. Medical News Today. Retrieved April 7, 2026, from https://www.medicalnewstoday.com/articles/318110
Pneumothorax. (n.d.). Johns Hopkins Medicine. Retrieved April 7, 2026, from https://www.hopkinsmedicine.org/health/conditions-and-diseases/pneumothorax
Pneumothorax (Collapsed Lung): Symptoms & Treatment. (2023, November 16). Cleveland Clinic. Retrieved April 7, 2026, from https://my.clevelandclinic.org/health/diseases/15304-collapsed-lung-pneumothorax
Pneumothorax – StatPearls – NCBI Bookshelf. (n.d.). NCBI. Retrieved April 7, 2026, from https://www.ncbi.nlm.nih.gov/books/NBK441885/ Pneumothorax – Symptoms and causes. (2024, August 8). Mayo Clinic. Retrieved April 7, 2026, from https://www.mayoclinic.org/diseases-conditions/pneumothorax/symptoms-causes/syc-20350367